Artificial intelligence–assisted cancer diagnosis improves the efficiency of pathologists in prostatic biopsies 

22% EFFICIENCY GAINS & 40% FEWER SECOND OPINION REQUESTS

The study’s outcomes demonstrated significant time savings with AI, including reduced reading times, improved laboratory efficiency, shorter turnaround times, and a notable decrease in IHC and second opinion requests.  

ARTIFICIAL INTELLIGENCE–ASSISTED CANCER DIAGNOSIS IMPROVES THE EFFICIENCY OF PATHOLOGISTS IN PROSTATIC BIOPSIES 


Published in Virchows Archiv

Catarina Eloy, Ana Marques, João Pinto, Jorge Pinheiro, Sofia Campelos, Mónica Curado, João Vale & António Polónia

Volume 482, pages 595–604, (2023)


ABOUT THIS STUDY

The study was designed by Institute of Molecular Pathology and Immunology of the University of Porto (Ipatimup) to assess how the use of Paige Prostate Detect and Paige Prostate Grade & Quantify could impact pathologist performance in a fully digital laboratory.


THE RESULTS

A group of 4 generalist pathologists evaluated a retrospective cohort of 105 consecutive prostate needle biopsy whole-slide images in 2 phases: first without support from AI, and then after a washout period, assisted by AI. Performance characteristics including diagnostic accuracy and concordance, slide read time, IHC requests, and second opinion requests were evaluated.

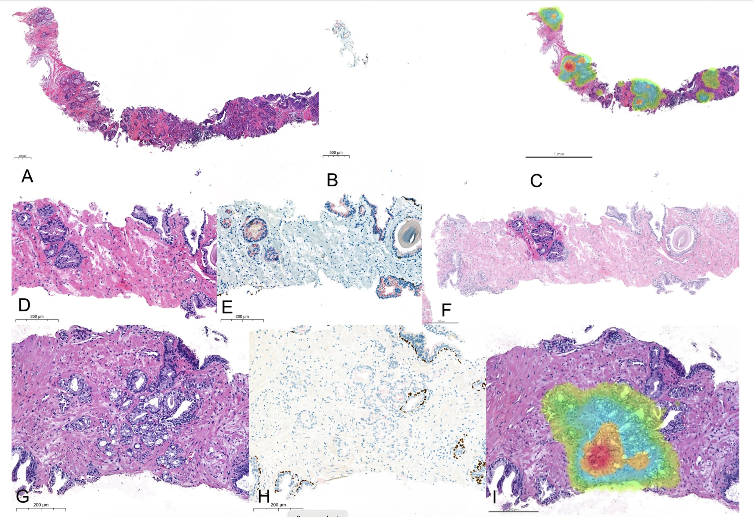
Using Paige Prostate, pathologists improved their sensitivity and specificity across all histologic grades and tumor sizes. Accuracy gains on both benign and cancerous whole-slide images could be attributed to Paige Prostate, which correctly classified 100% of the whole-slide images showing corrected diagnoses in the Paige Prostate assisted phase.

Paige Prostate identified four additional patients whose diagnoses were upgraded from benign or suspicious to malignant

21.9% reduction in slide reading times in benign and malignant cases

32.4% fewer atypical small acinar proliferation (ASAP) reported

24.7% reduction in IHC requests for cancer cases increase in pathologist specificity

17.3% reduction in IHC requests for non-cancer cases

39.2% reduction in second opinion requests



With its high sensitivity and negative predictive value, Paige Prostate Detect serves effectively as both a screening tool and second-read support. It has been shown to reduce the need for additional IHC staining, shorten reporting time, and preserve tissue which can be particularly valuable in small biopsies with limited cancer representation.

Read the published study
Previous
Previous

Clinical Validation of Artificial Intelligence–Augmented Pathology Diagnosis Demonstrates Significant Gains in Diagnostic Accuracy in Prostate Cancer Detection 

Next
Next

An independent assessment of an artificial intelligence system for prostate cancer detection shows strong diagnostic accuracy